商品名称:RNAprotect Tissue Reagent (250 ml)
RNAprotect Reagents and Tubes provide immediate RNase inactivation and stabilization of RNA in tissues, cultures of Gram-positive and Gram-negative bacteria and sorted or cultured cells to preserve the gene expression profile and enable reproducible purification of high-quality RNA. Samples are stabilized at room temperature prior to RNA isolation procedures.
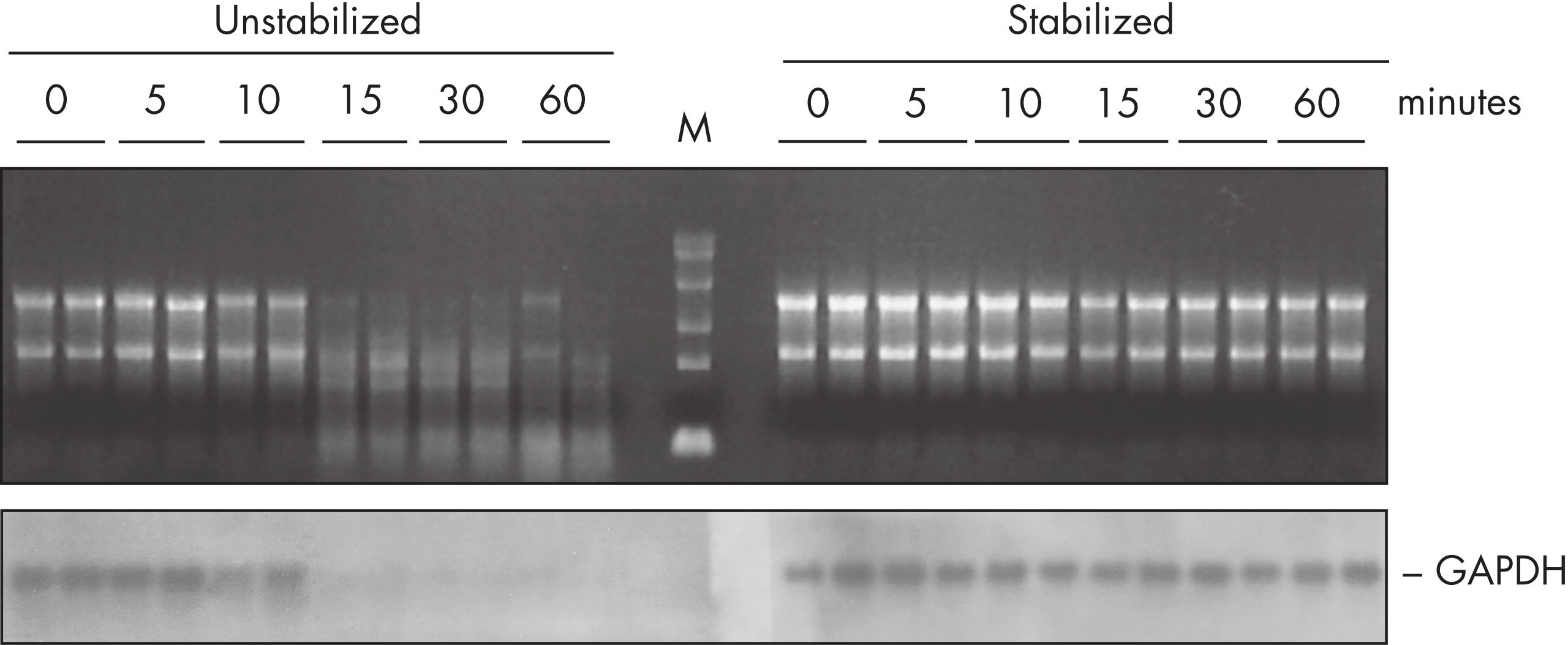
RNAprotect Tissue Reagent ensures immediate RNase inactivation and stabilizes and protects the RNA expression pattern of samples during harvest and storage (see figure " RNAprotect Reagent prevents degradation of mRNA in tissues"). Immediate protection with RNAprotect technology ensures that downstream analyses truly reflect the expression profile of the intact tissues. Samples can be archived without risk of RNA degradation, even after multiple freeze–thaw cycles (see figures “ Stable RNA in tissues: different temperatures and freeze–thaw cycles” and “ RNAprotect Tissue Tubes prevent RNA changes in tissues”).
RNAprotect Cell Reagent prevents induction of gene expression in treated cells and preserves and stabilizes transcript levels during storage of cell samples (see figures " Effective inhibition of PMA induction of c-fos expression" and " More reliable quantification of CD83 transcript").
RNAprotect Bacteria Reagent is suitable for use with a wide range of bacterial species, both Gram positive (e.g., Staphylococcus aureus and Mycobacterium avium) and Gram negative (e.g., Escherichia coli and Salmonella typhimurium) and prevents RNA changes (see figures “ RNAprotect Bacteria Reagent prevents mRNA degradation” and “ GeneChip analysis”). Bacteria can be grown in either minimal or complex medium prior to isolation of RNA.
GeneChip analysis.
RNeasy purified RNA from RNAprotect stabilized samples stored under a wide variety of conditions is ideal for downstream processes such as northern blotting and RT-PCR.
 Stable RNA in tissues: different temperatures and freeze–thaw cycles.
Stable RNA in tissues: different temperatures and freeze–thaw cycles. RNAprotect Tissue Tubes prevent RNA changes in tissues.
RNAprotect Tissue Tubes prevent RNA changes in tissues. Effective inhibition of PMA induction.
Effective inhibition of PMA induction. More reliable quantification of CD83 transcript.
More reliable quantification of CD83 transcript. RNAprotect Bacteria Reagent prevents mRNA degradation.
RNAprotect Bacteria Reagent prevents mRNA degradation. GeneChip analysis.
GeneChip analysis.
Once a biological sample is harvested, its RNA becomes extremely unstable. RNAprotect Reagents and Tubes enable immediate RNase inactivation, stabilization of the RNA and preservation of the RNA expression pattern. Gene induction or down-regulation triggered by sample manipulation is also prevented, allowing accurate analysis of gene expression. This is particularly important for bacterial expression profiles. Enzymatic degradation of RNA leads to reduction or loss of many transcripts because bacterial mRNA molecules have very short half lives of only a few minutes.
RNAprotect Tissue Reagent quickly permeates tissues resulting in immediate stabilization of the RNA. RNAprotect Cell Reagent provides immediate stabilization of RNA in sorted or cultured cells. Cells are stabilized at room temperature and can be stored or transported at ambient temperature prior to RNA purification.
For RNA protection and sample storage, tissue samples are submerged in an appropriate volume of RNAprotect Tissue Reagent immediately after harvesting. RNAprotect Tissue Tubes provide premeasured volumes of RNAprotect Tissue Reagent in reclosable tubes for convenient handling and sample storage. The reagent preserves RNA for up to 1 day at 37°C, 7 days at 18–25°C, or 4 weeks at 2–8°C, allowing processing, transportation, storage, and shipping of samples without liquid nitrogen or dry ice. Alternatively, the samples can also be placed at –20°C or –80°C for archival storage.
RNAprotect Cell Reagent immediately stabilizes the gene expression profile in cells. With other technologies, it is necessary to wash or process the cells (e.g., trypsin treatment) prior to adding an RNA stabilization reagent. Changes in expression that may occur during the washing or processing steps are eliminated by adding RNAprotect Cell Reagent directly to cells in culture medium or buffer. Instantaneous RNA stabilization with RNAprotect Cell Reagent can also be extended to pelleted cells not in medium or storage solution. The amount of starting material must not exceed 1 x 107 cells.
For bacterial samples, two volumes of RNAprotect Bacteria Reagent are added directly to 1 volume of bacterial culture prior to RNA isolation, providing immediate stabilization of RNA. The stabilization allows time for efficient bacterial lysis using a choice of protocols: enzymatic lysis, mechanical disruption, or a combination of both methods. QIAGEN recommends the TissueLyser for efficient mechanical disruption.
RNA stabilized in RNAprotect Reagents and Tubes can be used for:
